Tägliche Pflegeroutine für gesunde Zähne Tipps zum Schutz Ihrer Zahngesundheit
Zahngesundheit ist ein wichtiger Teil unserer allgemeinen Gesundheit. Gesunde Zähne sind nicht nur ästhetisch wichtig, sondern beeinflussen auch direkt unsere Körpergesundheit. Es ist notwendig, Ihre Zähne regelmäßig zu reinigen, Ihre Zahnfleischgesundheit zu erhalten und gesunde Mundpflegegewohnheiten zu entwickeln, um Ihre Zähne ein Leben lang gesund zu halten. Die Gesundheit Ihrer Zähne ist viel mehr als nur das ästhetische Aussehen Ihres Lächelns; sie ist ein wichtiger Faktor, der Ihre allgemeine Gesundheit beeinflusst. Zum Beispiel können Karies und Zahnfleischerkrankungen zu schwerwiegenden Gesundheitsproblemen wie Herzkrankheiten, Diabetes und Atemwegsinfektionen führen. Daher ist es entscheidend, Ihren Zähnen die nötige Aufmerksamkeit zu schenken und eine richtige Pflege-Routine zu etablieren, um langfristige gesundheitliche Vorteile zu erzielen. Eine vollständige tägliche Zahnpflege-Routine wird Ihre Mundgesundheit verbessern und Zahngesundheitsprobleme verhindern. In diesem Artikel werden wir untersuchen, wie eine tägliche Pflegeroutine für gesunde Zähne aussehen sollte und welche Tipps es gibt, um Ihre Zahngesundheit zu erhalten.
Zähneputzen: Der erste Schritt zu gesunden Zähnen
Zähneputzen ist eines der grundlegenden Elemente der Zahngesundheitspflege. Regelmäßiges Zähneputzen entfernt Bakterien, Essensreste und Plaque, die sich im Mund ansammeln. Plaqueansammlungen können zu Karies und Zahnfleischerkrankungen führen, daher sollten Sie Ihre Zähne mindestens zweimal täglich putzen. Darüber hinaus reinigt das Zähneputzen nicht nur die Vorderseite Ihrer Zähne, sondern trägt auch zur Gesundheit Ihres Zahnfleisches bei. Indem Sie die Borsten der Zahnbürste sanft bewegen, massieren Sie Ihr Zahnfleisch und fördern die Blutzirkulation, was die Gesundheit des Zahnfleisches unterstützt. Regelmäßiges Zähneputzen verhindert, dass sich Plaque im Laufe der Zeit zu Zahnstein verhärtet, und hilft, Karies zu verhindern. Die Wahl der richtigen Zahnbürste ist ebenfalls sehr wichtig. Eine Zahnbürste mit weichen Borsten sorgt für eine effektive Reinigung, ohne das Zahnfleisch zu reizen. Die Putzdauer ist ebenfalls wichtig. Putzen Sie Ihre Zähne mindestens zwei Minuten lang, um alle Oberflächen gründlich zu reinigen. Achten Sie darauf, die richtige Putztechnik anzuwenden. Putzen Sie Ihre Zähne in sanften, kreisenden Bewegungen, um das Zahnfleisch nicht zu schädigen. Durch das Zähneputzen verbessern Sie nicht nur die Gesundheit Ihrer Zähne, sondern auch die Gesundheit Ihres Mundes und verhindern Zahnfleischerkrankungen.
Zahnseide verwenden: Reinigung zwischen den Zähnen
Zahnseide ist wichtig, um die Zahnzwischenräume zu reinigen, die mit einer Zahnbürste nicht erreicht werden. Durch die Verwendung von Zahnseide können Sie Plaque und Essensreste aus den Zwischenräumen Ihrer Zähne entfernen und so die Gesundheit Ihres Zahnfleisches bewahren. Während eine Zahnbürste nur die äußere Oberfläche der Zähne reinigt, entfernt Zahnseide Plaque und Verunreinigungen aus den Zahnzwischenräumen und verhindert Plaqueansammlungen. Diese Ablagerungen können im Laufe der Zeit zu Karies führen, weshalb die Verwendung von Zahnseide ein wichtiger Bestandteil der Mundpflege ist. Tägliches Benutzen von Zahnseide hilft, Karies und Zahnfleischerkrankungen vorzubeugen. Dabei ist es wichtig, Zahnseide richtig zu verwenden. Führen Sie die Zahnseide sanft zwischen die Zähne ein und bewegen Sie sie hin und her, um den Bereich zu reinigen. Seien Sie vorsichtig, um Ihr Zahnfleisch nicht zu verletzen. Zahnseide ist besonders wichtig, wenn Lebensmittelreste zwischen den Zähnen stecken bleiben oder im Frühstadium von Karies. Vermeiden Sie es, zu viel Druck auszuüben und führen Sie den Reinigungsvorgang sorgfältig durch. Richtig angewendete Zahnseide hilft, nicht nur Ihre Zahngesundheit zu erhalten, sondern auch schlechten Atem zu vermeiden. Diese Gewohnheit ist sehr vorteilhaft für die Zahngesundheit und wird langfristig erhebliche Ergebnisse erzielen.
Mundspülung: Zusätzlicher Schutz
Mundspülung ist eine weitere Möglichkeit, Ihre Zahngesundheit zu schützen und schlechten Atem zu vermeiden. Durch die Verwendung eines antibakteriellen Mundwassers können Sie die Bakterienzahl im Mund verringern und das Entstehen von Zahnfleischerkrankungen verhindern. Mundspülungen sind Produkte, die von Zahnärzten empfohlen werden und starke antiseptische Eigenschaften besitzen, die das Wachstum von Bakterien hemmen. Mundspülungen sorgen für eine tiefere Reinigung im Mund und bieten zusätzlichen Schutz, besonders in Kombination mit Zähneputzen und Zahnseide. Die Verwendung von Mundspülung hilft nicht nur, schlechten Atem zu verhindern, sondern auch, Zahnfleischerkrankungen und Karies vorzubeugen. Regelmäßige Mundspülung stärkt die Gesundheit Ihrer Zähne und Ihres Zahnfleisches. Es ist jedoch wichtig zu bedenken, dass Mundspülung nur eine kurzfristige Lösung gegen Mundgeruch ist und als Ergänzung zu Zähneputzen und Zahnseide angewendet werden sollte, um langfristige Ergebnisse zu erzielen. Die richtige Anwendung von Mundspülung unterstützt Ihre Putzroutine und schafft eine saubere Mundumgebung. Zahnärzte empfehlen oft die Verwendung solcher Zusatzprodukte in der täglichen Pflege. Da jedoch nicht jede Mundspülung gleich ist, ist es ratsam, einen Zahnarzt zu konsultieren, um das am besten geeignete Produkt für Sie zu finden. Antibakterielle Mundspülungen verbessern Ihre Zahngesundheit und bieten langfristige Vorteile.
Gesunde Ernährung und Zahngesundheit
Für gesunde Zähne ist nicht nur die äußere Reinigung wichtig, sondern auch die richtige Ernährung. Die Art der Nahrungsmittel, die Sie essen, beeinflusst direkt die Gesundheit Ihrer Zähne. Zuckerhaltige und saure Lebensmittel können den Zahnschmelz schädigen und die Entstehung von Karies beschleunigen. Zuckerhaltige Nahrungsmittel fördern das Wachstum von Bakterien im Mund und schaffen ein saures Milieu, das Ihre Zähne zerstört. Zuckerhaltige Getränke und Snacks setzen Ihre Zähne über längere Zeit sauren Einflüssen aus. Deshalb ist es wichtig, Zucker zu meiden und eine gesunde, ausgewogene Ernährung zu pflegen, um die Zahngesundheit zu bewahren. Zur Zahngesundheit sollten Sie Nahrungsmittel zu sich nehmen, die reich an Kalzium, Vitamin D und Phosphor sind. Milchprodukte wie Milch, Käse und Joghurt liefern das notwendige Kalzium, um Ihre Zähne zu stärken. Auch grünes Blattgemüse, Bohnen und Fisch, die reich an Vitamin D und Phosphor sind, sind gesund für Ihre Zähne. Die Bedeutung von Wassertrinken für Ihre Zahngesundheit ist ebenfalls groß. Wasser reinigt die Bakterien im Mund und unterstützt die Gesundheit Ihrer Zähne. Viel Wasser zu trinken verhindert zudem Mundtrockenheit und schützt Ihr Zahnfleisch. Gesunde Ernährungsgewohnheiten helfen, Ihre Zähne stark zu halten und Ihre allgemeine Mundgesundheit zu verbessern. Darüber hinaus hilft eine Ernährung, die Ihre Zähne stärkt, Karies zu verhindern und den Zahnschmelz zu schützen.
Schützen Sie Ihre Zähne: Tipps zum Zahnschutz
Es ist wichtig, Gewohnheiten zu entwickeln, um Ihre Zähne gesund zu halten. Achten Sie darauf, Ihre Zähne nicht zu stark zu putzen, da dies Ihr Zahnfleisch reizen kann. Vermeiden Sie es außerdem, Ihre Zähne zu pressen oder zu knirschen. Um Ihre Zähne zu schützen, besuchen Sie regelmäßig Ihren Zahnarzt und lassen Sie Probleme behandeln, bevor sie entstehen. Durch regelmäßiges Zähneputzen und die Verwendung von Zahnseide schützen Sie Ihre Zähne vor schädlichen Bakterien und äußeren Schäden. Wenn Sie Ihre Zähne pressen, kann es zu Abnutzung kommen. Solche Gewohnheiten können den Zahnschmelz schädigen. Zähneknirschen ist eine ungesunde Gewohnheit, die die Zahngesundheit negativ beeinflussen kann und bei längerem Bestehen sowohl Ihre Zähne als auch Ihre Kiefergelenke belastet. Spezielle Nachtschienen können hilfreich sein, um Zähneknirschen zu verhindern. Das Verhindern von Zähneknirschen hilft, Ihre Zähne gesund zu halten und verhindert langfristig Zahnprobleme. Regelmäßige Zahnarztbesuche ermöglichen es Ihnen, sich über die Entwicklung Ihrer Zähne zu informieren und mögliche Probleme frühzeitig zu erkennen. Es ist wichtig, Gewohnheiten zu entwickeln, um Ihre Zahngesundheit langfristig zu schützen.
Regelmäßige Zahnarztkontrollen für gesunde Zähne
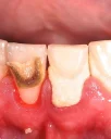
Regelmäßige Zahnarztkontrollen sind entscheidend für gesunde Zähne. Zahnärzte reinigen Ihre Zähne professionell, erkennen Karies oder Zahnfleischerkrankungen im Frühstadium und empfehlen die nötigen Behandlungen. Zahnarztbesuche sind nicht nur zur Überprüfung Ihrer Zahngesundheit wichtig, sondern auch zur Verhinderung größerer Gesundheitsprobleme. Schon ein kleines Loch in Ihrem Zahn kann sich zu einem größeren Problem entwickeln, wenn es nicht behandelt wird. Zahnärzte können solche Probleme frühzeitig erkennen und behandeln, wodurch größere Komplikationen verhindert werden. Ein Zahnarztbesuch mindestens zweimal im Jahr ist der Schlüssel zur langfristigen Erhaltung Ihrer Zahngesundheit. Ihr Zahnarzt überprüft nicht nur die Gesundheit Ihrer Zähne, sondern gibt auch Empfehlungen zur Vorbeugung von anderen Erkrankungen im Mundbereich. Der Kontakt zu Ihrem Zahnarzt kann Ihre Mundgesundheit verbessern und Sie vor verschiedenen Zahnerkrankungen schützen. Regelmäßige Zahnarztkontrollen stärken Ihre Zähne und sorgen für ein gesundes Lächeln.
Beste Gewohnheiten für Ihre Zahngesundheit
Um Ihre Zahngesundheit zu schützen, ist Ihre tägliche Pflegeroutine sehr wichtig. Für gesunde Zähne sollten Sie Ihre Zähne regelmäßig putzen, Zahnseide verwenden, mit Mundspülung eine zusätzliche Reinigung durchführen und eine gesunde Ernährung pflegen. Außerdem ist es wichtig, regelmäßig den Zahnarzt aufzusuchen, da dies der effektivste Weg ist, um Ihre Zahngesundheit zu erhalten und zu behandeln. Denken Sie daran, dass Ihre Zahngesundheit direkt mit Ihrer allgemeinen Gesundheit verbunden ist. Daher wird die richtige Zahnpflege die beste Investition für Ihre Gesundheit sein. Wenn Sie Ihre Zähne jeden Tag regelmäßig reinigen, bleibt Ihr Zahnfleisch gesund und Bakterienansammlungen im Mund werden verhindert. Durch regelmäßige Kontrollen können Karies frühzeitig erkannt und unbehandelte Zahnerkrankungen verhindert werden. Durch die richtigen Gewohnheiten für gesunde Zähne können Sie langfristig eine gesunde Mundstruktur haben. Daher wird das Etablieren der richtigen Zahnpflegegewohnheiten dazu beitragen, zukünftige Zahnprobleme zu vermeiden.







